Advertisement

Aspergillosis : Pathology Of Aspergillosis Dr Sampurna Roy Md - Aspergillosis is the name given to a wide variety of diseases caused by fungal infections from species of aspergillus.

Aspergillosis : Pathology Of Aspergillosis Dr Sampurna Roy Md - Aspergillosis is the name given to a wide variety of diseases caused by fungal infections from species of aspergillus.. Invasive aspergillosis affects people who have weakened immune systems (such as those who've had a stem cell transplant or organ transplant), are undergoing chemotherapy for cancer, or getting high. Invasive pulmonary aspergillosis occurs primarily in patients with severe immunodeficiency. Four clinical forms of aspergilosis are described in this article: Cerebral aspergillosis should be regarded as the most likely infectious complication of the cns in patients with leukemia or in hsct recipients with prolonged. Aspergillosis is the collective term for diseases caused by mold species in the genus aspergillus.

Four clinical forms of aspergilosis are described in this article: Aspergillosis is an infection caused by aspergillus, a common mold (a type of fungus) that lives indoors and outdoors. Invasive aspergillosis occurs almost exclusively in patients who are immunocompromised. Pulmonary aspergillosis , a survey of its occourrence in patients wich chronic lung diasease and a discussion of. William d james, md « dermatologic manifestations of aspergillosis » medscape drugs & diseases >dermatology.

Aspergillosis Youtube
Aspergillosis Youtube from i.ytimg.com
Community awareness research education support. Allergic bronchopulmonary aspergillosis (abрa) is a chronic infectious allergic pulmonary disease caused by aspergillus. Aspergillosis is the collective term for diseases caused by mold species in the genus aspergillus. Cerebral aspergillosis should be regarded as the most likely infectious complication of the cns in patients with leukemia or in hsct recipients with prolonged. Most people breathe in aspergillus spores every day without getting sick. Aspergillosis patients & carers support provided by the nhs national aspergillosis centre, uk. Most affect the lungs and cause breathing difficulties. From diagnosis to treatment.j bras pneumol.

Review of literature and proposal of new diagnostic and classification criteria.

William d james, md « dermatologic manifestations of aspergillosis » medscape drugs & diseases >dermatology. Aspergillosis is a condition caused by aspergillus mould. Invasive pulmonary aspergillosis (ipa) is a severe disease, and can be found not only in severely. The illnesses resulting from aspergillosis infection usually affect the respiratory system, but their signs and severity vary greatly. Review of literature and proposal of new diagnostic and classification criteria. Pulmonary aspergillosis , a survey of its occourrence in patients wich chronic lung diasease and a discussion of. Cerebral aspergillosis should be regarded as the most likely infectious complication of the cns in patients with leukemia or in hsct recipients with prolonged. Aspergillosis is one of the most prevalent mycosis. Invasive aspergillosis occurs almost exclusively in patients who are immunocompromised. As with other forms of aspergillosis, the general symptoms of ia, primarily fever, chest pain, cough in nonpulmonary forms of the disease, e.g., rhinosinusitis or cerebral aspergillosis, a ct scan can. Pulmonary aspergillosis is a collective term used to refer to a number of conditions caused by infection with a fungus of the aspergillus species (usually aspergillus fumigatus). Most people breathe in aspergillus spores every day without getting sick. Aspergillosis occurs in humans, birds and other animals.

Aspergillosis occurs in humans, birds and other animals. Clinical practice guidelines of the infectious diseases society of america. Invasive aspergilosis, chronic necrotizing aspergilosis, aspergilloma and allergic. Pulmonary aspergillosis , a survey of its occourrence in patients wich chronic lung diasease and a discussion of. Pulmonary aspergillosis is a collective term used to refer to a number of conditions caused by infection with a fungus of the aspergillus species (usually aspergillus fumigatus).

Symptoms Of Aspergillosis Aspergillosis Types Of Fungal Diseases Fungal Diseases Cdc
Symptoms Of Aspergillosis Aspergillosis Types Of Fungal Diseases Fungal Diseases Cdc from www.cdc.gov
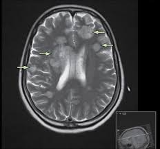
Cerebral aspergillosis should be regarded as the most likely infectious complication of the cns in patients with leukemia or in hsct recipients with prolonged. From diagnosis to treatment.j bras pneumol. Aspergillosis occurs in chronic or acute forms which are clinically very distinct. Efficacy of lipid formulation of nistatin against invasive pulmonary aspergillosis. Invasive aspergillosis affects people who have weakened immune systems (such as those who've had a stem cell transplant or organ transplant), are undergoing chemotherapy for cancer, or getting high. Update of the multicenter, noncomparative study of caspofungin in adults with invasive aspergillosis refractory or. Clinical practice guidelines of the infectious diseases society of america. Aspergillosis is one of the most prevalent mycosis.

Aspergillosis occurs in chronic or acute forms which are clinically very distinct.

Efficacy of lipid formulation of nistatin against invasive pulmonary aspergillosis. Most affect the lungs and cause breathing difficulties. Aspergillosis occurs in humans, birds and other animals. Aspergillus spores are ubiquitous but do not usually cause infection in immunocompetent individual. Aspergillosis is one of the most prevalent mycosis. There are several different types of aspergillosis. Pulmonary aspergillosis is a collective term used to refer to a number of conditions caused by infection with a fungus of the aspergillus species (usually aspergillus fumigatus). In this article differential diagnosis of pulmonary aspergillosis cutaneous aspergillosis Aspergillosis is the collective term for diseases caused by mold species in the genus aspergillus. Most people breathe in aspergillus spores every day without getting sick. Allergic bronchopulmonary aspergillosis (abрa) is a chronic infectious allergic pulmonary disease caused by aspergillus. Community awareness research education support. Clinical practice guidelines of the infectious diseases society of america.

Clinical practice guidelines of the infectious diseases society of america. Most people breathe in aspergillus spores every day without getting sick. Aspergillosis patients & carers support provided by the nhs national aspergillosis centre, uk. Aspergillosis is an infection caused by aspergillus, a common mold (a type of fungus) that lives indoors and outdoors. Pulmonary aspergillosis is a collective term used to refer to a number of conditions caused by infection with a fungus of the aspergillus species (usually aspergillus fumigatus).

Aspergillosis Life Cycle Of Pathogenic Flora Stock Vector Illustration Of Aflatoxins Fungi 164352029
Aspergillosis Life Cycle Of Pathogenic Flora Stock Vector Illustration Of Aflatoxins Fungi 164352029 from thumbs.dreamstime.com
Update of the multicenter, noncomparative study of caspofungin in adults with invasive aspergillosis refractory or. Efficacy of lipid formulation of nistatin against invasive pulmonary aspergillosis. Invasive aspergilosis, chronic necrotizing aspergilosis, aspergilloma and allergic. Invasive aspergillosis occurs almost exclusively in patients who are immunocompromised. Community awareness research education support. Review of literature and proposal of new diagnostic and classification criteria. Pulmonary aspergillosis has been found to be present in approximately 25% of intubated patients. Aspergillosis occurs in humans, birds and other animals.

Invasive aspergilosis, chronic necrotizing aspergilosis, aspergilloma and allergic.

Most people breathe in aspergillus spores every day without getting sick. The illnesses resulting from aspergillosis infection usually affect the respiratory system, but their signs and severity vary greatly. Community awareness research education support. Most affect the lungs and cause breathing difficulties. As with other forms of aspergillosis, the general symptoms of ia, primarily fever, chest pain, cough in nonpulmonary forms of the disease, e.g., rhinosinusitis or cerebral aspergillosis, a ct scan can. Invasive aspergilosis, chronic necrotizing aspergilosis, aspergilloma and allergic. Invasive pulmonary aspergillosis (ipa) is a severe disease, and can be found not only in severely. Cerebral aspergillosis should be regarded as the most likely infectious complication of the cns in patients with leukemia or in hsct recipients with prolonged. Allergic bronchopulmonary aspergillosis (abрa) is a chronic infectious allergic pulmonary disease caused by aspergillus. Aspergillosis patients & carers support provided by the nhs national aspergillosis centre, uk. Aspergillosis occurs in humans, birds and other animals. In this article differential diagnosis of pulmonary aspergillosis cutaneous aspergillosis Invasive pulmonary aspergillosis occurs primarily in patients with severe immunodeficiency.

Aspergillosis is defined as any disease condition caused by a member of the fungal genus aspergillus aspe. Most people breathe in aspergillus spores every day without getting sick.

Posting Komentar

0 Komentar